072 580 6122 012 030 1008
Expert Dental Care in Pretoria

We Create Happy,
Healthy Smiles

Providing world-class dentistry across the Montana, Brooklyn, and Madelief practices with a focus on patient comfort and surgical precision.

Smile Dental Care

We Create Happy, Healthy Smiles

Curaprox Proud provider of Curaprox

Welcome to Smile Dental Care. Our caring dentists and staff understand that every patient has different needs, and we pride ourselves on treating each person on an individual basis. We believe that the more information you have, the more aware you become of your options; you always have a choice on how you want to be treated.

We also understand that many people suffer from severe dental anxiety, and we are dedicated to making you feel as comfortable as possible. Our gentle and friendly approach ensures an enjoyable and relaxed dental experience.

Every dental procedure is undertaken with the utmost care, skill and attention to detail. We treat you the same way we would like our family members to be treated, and work hard to exceed your expectations.

We take pride in short waiting periods and accommodating each patient on time, with clear communication at every step.

Interior

Smile Whitening Menu

A clear overview of our in-chair and take-home whitening options.

Smile
Whitening Menu
Updated Options
Inchair Options
Option 1
  • X2 Pre-Treatment Opal Go trays
  • X2 20 Min sessions in chair with Boost
  • X3 Post-op Treatment Opal Go trays
  • X1 30G Opalescence Toothpaste
  • X1 UltraEz Tray
Option 2
  • X2 20 Min sessions in chair with Boost
  • X1 Opalescence PF Syringes X2 + Custom lab tray
  • X1 30G Opalescence Toothpaste
  • X1 UltraEz Tray
Take Home Options
Option 1
  • X10 Opalescence Go
  • X1 30G Opalescence Toothpaste
  • X1 UltraEz Tray
Option 2
  • X4 Opalescence PF Syringes
  • Custom Whitening Trays
  • X1 30G Opalescence Toothpaste
  • X1 UltraEz Tray
Option 3
  • X5 Opalescence GO
  • X1 20G Opalescence Toothpaste
  • X1 UltraEz Tray
Option 4
  • Bright Cleaning
Contact us for more information on our cleaning special

Straighten Your Smile
Without Braces

Active Aligners work on basic orthodontic principles. They apply precise and specific forces to move individual teeth in their desired directions.

Virtually invisible and removable for eating.

Shorter treatment times than traditional braces.

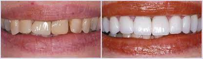
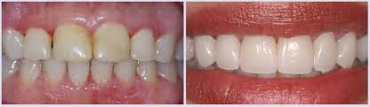
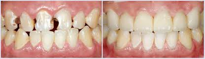
Transformative Results

Our clinical excellence speaks for itself. Explore these real patient transformations from our clinics.

Crown & Veneers

Restoration of front tooth aesthetics and function.

Aesthetic Fillings

Seamless integration using high-grade composite materials.

Full Reconstruction

Comprehensive overhaul for a perfectly aligned bite.

Our Treatments

World Class Dental Services

We utilize the latest Swiss and German dental technology to ensure your treatments are pain-free and effective.

Modern Clinical Environment

Equipped with state-of-the-art diagnostic equipment.

Hygienic Excellence

Maintaining the highest standards of sterilization and safety.

Core Services

Three pillars of care designed around long-term oral health.

General Care

Comprehensive check-ups, digital X-rays, and oral hygiene care to protect natural teeth.

  • Scaling & Polishing
  • White Fillings
  • Wisdom Tooth Removal
Popular

Cosmetic Dentistry

Design your dream smile with veneers, whitening, and aesthetic restorations.

  • E-Max Veneers
  • Professional Whitening
  • Smile Makeovers

Aligners/Orthodontics

Modern alignment solutions for adults and children, including Active Aligners.

  • Clear Aligners
  • Braces Consultations
  • Retainers

More Services

Supportive treatments tailored to comfort, restoration, and prevention.

Exam and Cleaning
Digital diagnostics and gentle hygiene care.
Teeth Whitening
Professional whitening options for brighter smiles.
Implants & Bridges
Replace missing teeth with stable solutions.
Denture Support
Help for loose-fitting dentures and adjustments.
Kids Dentistry
Gentle cleanings and care for younger patients.
Preventative Care
Regular cleanings help prevent gum disease.
Need Help Choosing?

Let us guide you

Share your concerns and we will recommend the best treatment plan for you.

Bookings: 072 580 6122
Medical Aids

Medical Aid Partners

List of our Medical Aid Partners. Please note that we accept all medical aids in South Africa. If your medical aid doesn't show up on this list it does not mean that we do not accept it.

Bestmed
Carecross
MMI Dental
Denis
Alliance Midmed
Bonitas
Enablemed
Keyhealth
Medihelp
Medshield
PG Group
Sizwe
Thebemed
DRC
Affinity
Black bird
Discovery KeyCare
Drum
EEBS
Essentialmed
Fedhealth
Furnmed
Genric
Hosmed
LA Health
Liberty Medicall
Moto Health
Nufawsa
Profmed
Remedi
Transmed
Topmed
Stratum
Wesmart
Discovery
Bankmed
Camaf
La Health
Massmart
Medscheme
AECI
Barloworld
Gems
Horizon
Mbmed
Namibie
Nedgroup
Old Mutual
Parmed
SABC
Samwumed
Sasolmed
Polmed
Swaziland
Momentum
Netcare
Opmed
Platinum Health
Pick 'n Pay
Rand Water
Resolution Health
Resomed
SABMAS (SAB)
Spectramed
SpesBona
Umvuzu Health
Wooltru
Imperial med
Liberty
Keycare
Medical Aid Partner Logos

Our Locations

We have three strategically located branches in Pretoria to serve you better.

Flagship Practice

Brooklyn Practice

92 Stella St, Brooklyn, Pretoria, 0181

012 030 1008
WhatsApp / Call: 072 580 6122
Mon-Fri: 08:00 - 16:00

Montana Practice

Wingtip Crossing Shopping Centre, Cnr Dr Swanepoel & Klippan St, Montana, Pretoria, 0182

012 030 1008
WhatsApp / Call: 072 580 6122
Mon-Fri: 08:00 - 16:00

Madelief Practice

Shop 7 Madelief Shopping Centre, Cnr Bokmakierie Street & Daan De Wet Nel Drive, Dorandia, Pretoria, 0181

012 030 1008
WhatsApp / Call: 072 580 6122
Mon-Fri: 08:00 - 16:00

Secure Your Appointment

Quick, easy, and secure. Choose your branch and clinical specialist.

Instant Notification
POPIA Compliant
Need help? Call 072 580 6122

We will get in contact with you as soon possible.